Солнечного осеннего дня вам, дорогие, и ярких улыбок!
С вами воскресная рубрика "Зубная Фея" и новая публикация.
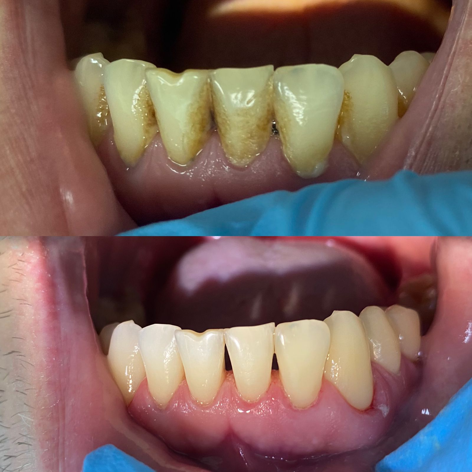
Одна из главных причин развития кариеса и болезней пародонта – это бактериальный налет. Он буквально кишит патогенными микроорганизмами, продуктами их жизнедеятельности, пищевыми остатками.
Профессиональная гигиена полости рта представляет собой комплекс специально разработанных мероприятий, которые направлены на удаление зубных отложений с поверхности зубов.
Этапы профессиональной гигиены полости рта:
-нанесение анестезирующего геля
-снятие зубного камня (ультразвуковым аппаратом)
-снятие пигментированного налета ( аппарат Air Flow)
-полировка зубов с помощью паст и щеток.
-полировка боковых поверхностей зубов( штрипсы, флоссинг)
-антисептическая обработка.
-рекомендации после лечения
Ждем вас за чистыми и здоровыми зубками!
Запись по телефону:
+7-951-552-95-95
С вами воскресная рубрика "Зубная Фея" и новая публикация.
Одна из главных причин развития кариеса и болезней пародонта – это бактериальный налет. Он буквально кишит патогенными микроорганизмами, продуктами их жизнедеятельности, пищевыми остатками.
Профессиональная гигиена полости рта представляет собой комплекс специально разработанных мероприятий, которые направлены на удаление зубных отложений с поверхности зубов.
Этапы профессиональной гигиены полости рта:
-нанесение анестезирующего геля
-снятие зубного камня (ультразвуковым аппаратом)
-снятие пигментированного налета ( аппарат Air Flow)
-полировка зубов с помощью паст и щеток.
-полировка боковых поверхностей зубов( штрипсы, флоссинг)
-антисептическая обработка.
-рекомендации после лечения
Ждем вас за чистыми и здоровыми зубками!
Запись по телефону:
+7-951-552-95-95
